A metà dicembre 2025, il bollettino settimanale del Centro Europeo per la prevenzione e il Controllo delle malattie di Stoccolma ha comunicato il ritorno in Europa della lebbra, una malattia che nel nostro continente non veniva diagnosticata da decenni [1].
Un primo caso è stato confermato in Romania e riguarda una donna indonesiana addetta ai massaggi in una spa; per altre tre sue colleghe la diagnosi è sospetta, ma non è stata confermata. Il direttore sanitario della struttura ha tranquillizzato i clienti: il contagio richiede un contatto stretto e prolungato, come quello che la paziente, di ritorno da un viaggio a casa, aveva avuto per un mese con la madre, ricoverata per la stessa malattia. La struttura è stata comunque chiusa e disinfettata a fondo.
Pochi giorni dopo questa segnalazione, l’Istituto di sanità pubblica croato ha dato notizia che la malattia era stata diagnosticata anche in un altro lavoratore asiatico, questa volta nepalese [2]. Entrambi i casi sono stati definiti “di importazione”, perché sono stati riconosciuti qui, ma la trasmissione dell’infezione non è avvenuta sul suolo europeo, ma nei Paesi di origine, dove è ancora diffusa.
Dottore, ma nel mondo la lebbra c’è ancora?
Dal 2010 la lebbra è stata eliminata dalla maggior parte dei Paesi del mondo. Nel 2019 si contavano poco più di 200.000 casi in 118 Paesi, di cui solo il 5% aveva deformità visibili al momento della diagnosi, un dato che mostrava un calo del 40% rispetto al 2014, ancora più marcato nei bambini [3].
Dove ancora persiste, tuttavia, la riduzione dei casi procede lentamente: nel 2023 solo Brasile, India e Indonesia (da dove è partito il caso romeno) segnalavano ancora più di 10.000 nuovi casi l’anno, altri dodici Paesi africani e asiatici (tra cui il Nepal, da dove è arrivato il caso croato) ne riportano da 1.000 a 10.000 l’anno, ma ce ne sono ancora altri 112 in cui l’infezione non si può dire estirpata, perché ancora vedono nuovi casi, seppure meno di un migliaio, ogni anno.
Dottore, che cos’è la lebbra?
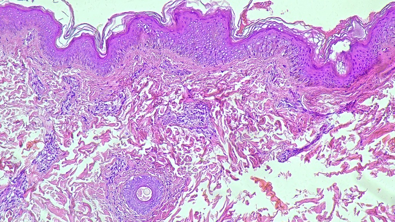
La lebbra è una malattia infettiva batterica cronica causata da Mycobacterium leprae, anche detta malattia di Hansen. Colpisce la pelle, gli occhi, il tratto respiratorio, ma soprattutto i nervi, che tendono a perdere la sensibilità nocicettiva, cioè la loro capacità di rilevare un possibile danno all’organismo. Si iniziano, quindi, ad avere lesioni o rash cutanei (non pruriginosi), ma anche macule, papule, noduli, o placche cutanee (spesso simmetriche). I pazienti sviluppano poi nel corso del tempo, con un’evoluzione che può durare decine di anni, lesioni anche gravi, a partire da bruciature, ferite o contusioni di cui non si accorgono, talvolta fino alla perdita delle estremità, ad esempio delle dita o del naso.
Si tratta, come si è detto, di una malattia poco contagiosa, e solo una piccola percentuale di persone esposte o infettate sviluppa effettivamente la malattia, che oggi può essere curata in modo efficace e definitiva. Il trattamento prevede una terapia multifarmaco, che associa tre diversi antibiotici (dapsone, rifampicina e clofazimina), forniti gratuitamente dall’Organizzazione Mondiale della Sanità, da proseguire per sei o dodici mesi a seconda del numero di lesioni cutanee e della presenza di batteri in esse. Durante il trattamento i pazienti smettono di essere contagiosi e possono quindi condurre una vita normale, in famiglia, in società, nel posto di lavoro.
Dottore, ma perché questa malattia fa tanta paura?
Su questo aspetto anche l’Organizzazione Mondiale della Sanità prende posizione nella sua pagina informativa sulla malattia ed è molto importante per chi viene colpito dalla lebbra. Negli obiettivi di eliminazione della malattia a livello globale, infatti, oltre ad azzerare i nuovi casi e l’insorgenza di deformità, si punta a cancellare lo stigma che da sempre vi è associato.
Per secoli questa condizione, per le sue lesioni cutanee e le deformità che nel tempo ne seguivano, è stata associata nelle diverse culture e religioni a impurità e peccato, spingendo a un isolamento sociale stretto di queste persone. I lebbrosi vivevano segregati e dovevano annunciare il loro arrivo con campanelli perché gli altri si riparassero evitando il rischio di contagio. Rischio che, come si è detto, è in realtà molto basso. Ma lo stigma è talmente introiettato nella nostra cultura che per spiegare il significato di questa parola si usa proprio l’espressione “essere trattato da lebbroso”.
Argomenti correlati:
Malattie infettiveMedicina